WEB-TEAM  
نسخ الرابط
 
   
   
 
  A A A A A
X
dot4line

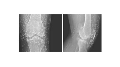
العثور على معدن الذهب في مفصل امرأة

2014/01/17   07:37 م

شكرا لتصويت

التقيم التقيم الحالي 0/5
العثور على معدن الذهب في مفصل امرأة



 عندما فحص الأطباء صورة بالأشعة السينية لركبة امرأة تعاني من آلام حادة في المفاصل، عثروا على معدن من الذهب: مئات من إبر الوخز الصغيرة التي بقيت في أنسجتها.

‎ونقلت صحيفة "الاتحاد" الإماراتية عن موقع شبكة "فوكس نيوز": أن المرأة الكورية الجنوبية، البالغة من العمر 65 عاماً، كانت قد شخصت إصابتها بمرض هشاشة العظام، وهو مرض تتدهور معه الغضاريف والعظام الموجودة في المفاصل؛ ما يؤدي إلى الآلام والتصلب.
لكن عندما فشلت مسكنات الألم، ومضادات الالتهاب، في تخفيف الألم في مفاصل ركبتيها، وأدت إلى بعض الإزعاج في معدتها، تحولت المرأة إلى العلاج بالوخز بالإبر.

‎والوخز بالإبر هو علاج طبي بديل، يستخدم إبراً يعتقد أنها تحفز بعض النقاط في الجسم؛ لتخفيف الألم، أو لعلاج أمراض مختلفة.

وقالت "التقارير": إنه في حالة المرأة؛ فإن الإبر التي يعتقد أنها من "الذهب"، تركت عمداً في أنسجة المريضة؛ لتواصل تحفيزها.

‎ويقول الدكتور علي قرمازي، أستاذ الأشعة في جامعة بوسطن: إن ترك أجسام غريبة في جسم الإنسان ليست فكرة جيدة؛ لأن ذلك قد يؤدي إلى التهابات وتعفنات، كما أنها قد تصعب على الطبيب قراءة صورة الأشعة بشكل صحيح.



أخبار ذات صلة dot4line
التعليقات الأخيرة
dot4line
 

!function(d, s, id) { var js, fjs = d.getElementsByTagName(s)[0], p = /^http:/.test(d.location) ? 'http' : 'https'; if (!d.getElementById(id)) { js = d.createElement(s); js.id = id; js.src = p + "://platform.twitter.com/widgets.js"; fjs.parentNode.insertBefore(js, fjs); } } (document, "script", "twitter-wjs");
81.0028
 
 
 
إعلن معنا
موقع الوطن الإلكترونية – حقوق الطبع والنشر محفوظة
 
Top